市口腔医院牙体牙髓病2科完成下颌第一磨牙远中颊根双根管治疗--精准攻克复杂根管难题!
2025-10-24 16:50牙体牙髓2科
近日,我院口腔科团队凭借精湛的诊疗技术与丰富的临床经验,成功为一名患者完成下颌第一磨牙根管治疗,精准处理了该牙齿远中颊根罕见的双根管解剖结构,为患者解除牙齿疼痛困扰,展现了科室在复杂牙体牙髓疾病诊疗领域的过硬实力。
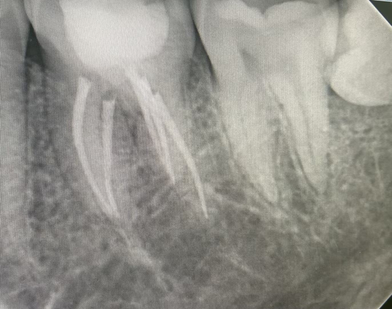
患者因左下后牙反复疼痛就诊,牙体牙髓病2科医生接诊后,通过详细口腔检查及口腔CBCT影像评估发现,疼痛根源为36慢性牙髓炎,且该牙齿解剖结构特殊——远中颊根存在双根管形态。据了解,下颌第一磨牙本身位置靠后、视野受限,治疗操作难度较大,而远中颊根双根管的解剖变异进一步增加了治疗复杂度,对医生的操作精度和根管系统解剖认知提出极高要求。
诊疗过程中,医生凭借对牙齿解剖结构的深刻掌握,结合根管显微镜的精准视野,仔细探查根管口、疏通根管通路,成功定位并清理两条细小根管内的感染组织。随后对根管进行严密充填,确保根管系统完全封闭,有效防止再次感染。整个治疗过程规范有序,患者术中感受良好,术后疼痛症状明显缓解,恢复效果理想。
此次复杂根管治疗的成功完成,不仅体现了我院医生扎实的专业功底和精准的操作能力,也彰显了科室在先进诊疗设备应用与复杂病例处理上的综合优势。未来,科室将持续深耕牙体牙髓疾病诊疗技术,以更精湛的医术为患者提供高质量的口腔医疗服务,守护市民口腔健康。


