“小牙齿,大问题”——儿童乳牙龋齿的防治科普
2025-10-21 16:29儿童口腔1科
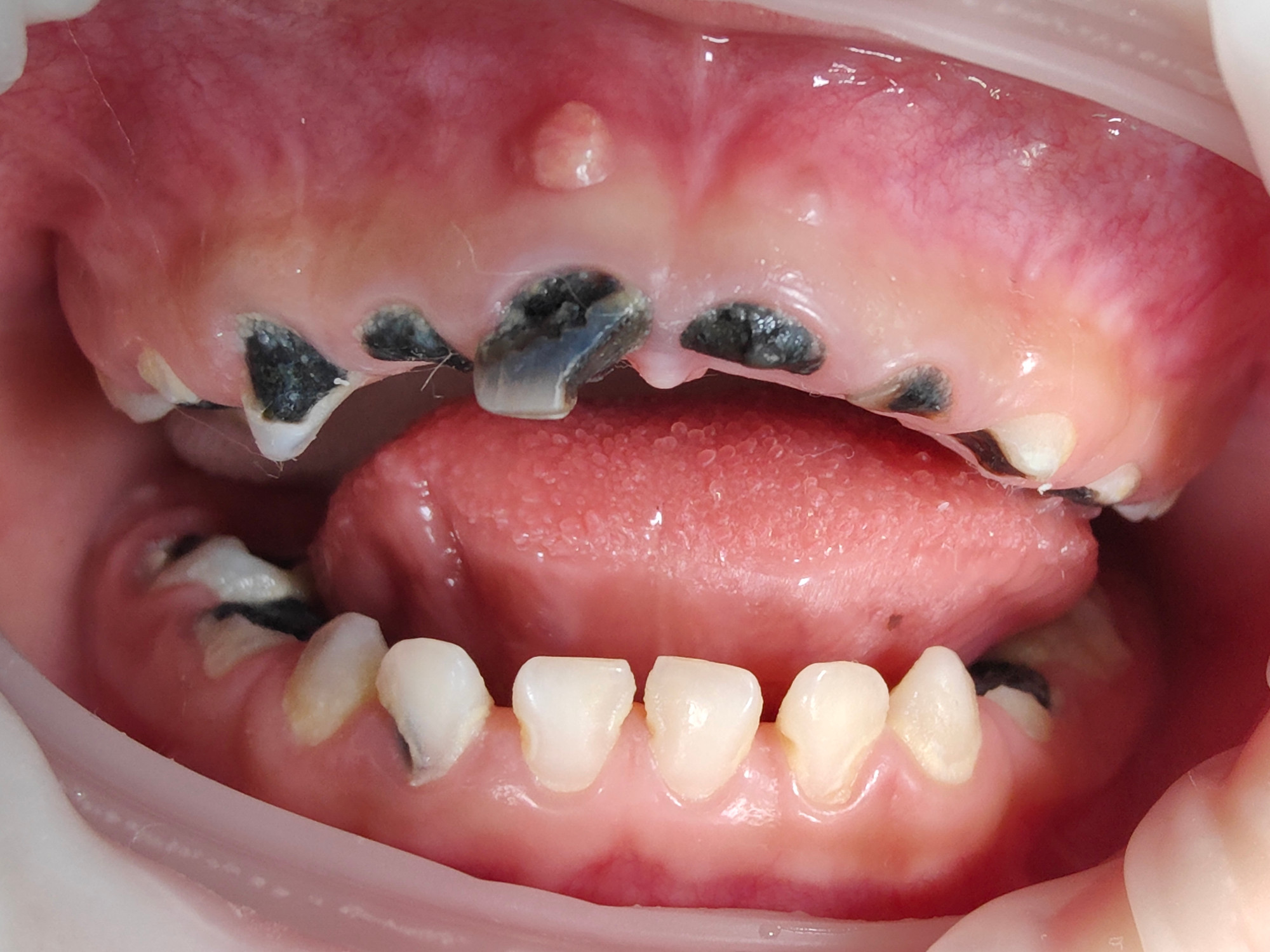
乳牙龋齿,也被称为“虫牙”,是儿童时期最常见的口腔疾病之一。许多家长认为乳牙迟早会被恒牙替换,不必太在意,但事实上,乳牙龋齿不仅会影响孩子的进食、发音和外观,还可能对恒牙的发育造成长期影响,因此必须重视。

一、乳牙龋齿的形成原因
龋齿是由细菌、食物残渣和牙齿自身条件共同作用引起的。当孩子摄入含糖食物或饮料后,口腔内的细菌会分解糖分,产生酸性物质,腐蚀牙釉质,逐渐形成龋洞。儿童乳牙牙釉质较薄,矿化程度低,因此更容易被腐蚀。加之刷牙不到位或夜间喝奶后未清洁口腔,都会加速龋齿的形成。
二、乳牙龋齿的危害
乳牙龋坏不仅仅是“黑点”或“蛀洞”,其危害远不止疼痛:
1. 影响咀嚼功能:孩子会因疼痛而偏侧咀嚼,导致面部发育不对称。
2. 影响恒牙发育:乳牙下方正是恒牙牙胚所在位置,龋齿感染可波及牙胚,引起恒牙发育异常或色素沉着。
3. 造成牙列紊乱:乳牙提前脱落会导致邻牙倾斜、恒牙萌出位置异常。
4. 影响语言与心理:前牙龋坏不仅影响发音,还可能让孩子产生自卑心理。
三、预防乳牙龋齿的关键措施
1. 科学喂养:避免让孩子长期含奶瓶入睡,减少频繁摄入甜食或含糖饮料。
2. 正确刷牙:从乳牙萌出开始就要清洁口腔,2岁后使用含氟儿童牙膏,早晚各刷一次,尤其要重视睡前刷牙。
3. 定期检查与涂氟:建议每6个月带孩子进行一次口腔检查。医生可根据需要为儿童进行涂氟或窝沟封闭,增强牙齿抗龋能力。
4. 家长示范与监督:家长应陪伴并检查孩子刷牙,帮助他们形成良好的口腔卫生习惯。
四、治疗与护理
一旦发现龋齿,应及时就诊。轻度龋齿可通过充填修复;若已累及牙髓,则需进行乳牙根管治疗,以保留牙齿功能。切忌拖延或自行拔除,以免影响恒牙萌出。
乳牙龋齿虽然常见,但完全可以通过科学预防与早期治疗来避免。守护孩子的第一口牙,就是守护他们一生的笑容。
